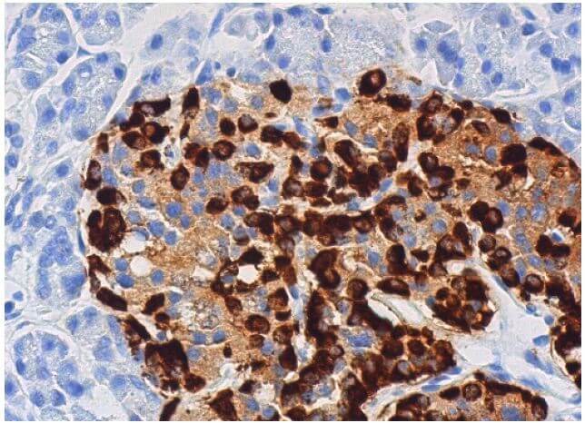
Glucagon (4j80)

Ref: STC-SC-71152

Información del producto

Información adicional
Size 200 µg/ml
Storage Conditions Store at 4 °C
Shipping Conditions Blue
Species Reactivity Cross mouse, rat, human, porcine, feline, canine
Applications WB, IP, IF, IHC(P)
Host mouse
Human Gen 2641
Harmonized Code 3002150000
Lab Info mouse monoclonal IgG1
Mouse Gene ID 14526
Kappa or Lambda kappa