DUSP6 rabbit pAb
  • DUSP6 rabbit pAb
ELK

DUSP6 rabbit pAb

Ref: ELK-ES20772-100μL
100μL

Información del producto

Información adicional
Storage Conditions -20°C/1 year
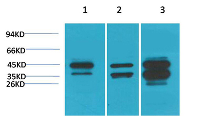
Applications WB
Concentration 1 mg/ml
Recomended Dilution WB 1:1000-3000
Type Clonality Polyclonal
Immunogen Synthetic Peptide of DUSP6
Subcellular Location Cytoplasm .
Iso type IgG
Tissue Source Rabbit
Reactivity Human
Mouse
Rat
Human Gen 1848
Observed Band 42,44kD
Other Name DUSP6
Dual specificity protein phosphatase 6
Dual specificity protein phosphatase PYST1
MAP kinase phosphatase 3
MKP-3
MKP3
Mitogen-activated protein kinase phosphatase 3
PYST1
Background The protein encoded by this gene is a member of the dual specificity protein phosphatase subfamily. These phosphatases inactivate their target kinases by dephosphorylating both the phosphoserine/threonine and phosphotyrosine residues. They negatively regu