FH rabbit pAb
  • FH rabbit pAb
ELK

FH rabbit pAb

Ref: ELK-ES20754-100μL
100μL

Información del producto

Información adicional
Storage Conditions -20°C/1 year
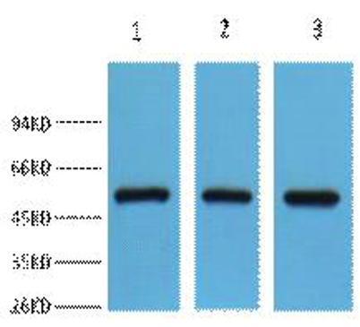
Applications WB
Recomended Dilution WB: 1:1000
Type Clonality Polyclonal
Immunogen Recombinant Protein of Fumarate hydratase, mitochondrial
Subcellular Location [Isoform Cytoplasmic]: Cytoplasm, cytosol . Nucleus . Chromosome . Translocates to the nucleus in response to DNA damage: localizes to DNA double-strand breaks (DSBs) following phosphorylation by PRKDC. .
[Isoform Mitochondrial]: Mitochondrion .
Iso type IgG
Tissue Source Rabbit
Reactivity Human
Mouse
Rat
Human Gen 2271
Observed Band 50kD
Other Name Fumarate hydratase, mitochondrial (Fumarase) (EC 4.2.1.2)
Background The protein encoded by this gene is an enzymatic component of the tricarboxylic acid (TCA) cycle, or Krebs cycle, and catalyzes the formation of L-malate from fumarate. It exists in both a cytosolic form and an N-terminal extended form, differing only in