MEK-5 rabbit pAb
  • MEK-5 rabbit pAb
ELK

MEK-5 rabbit pAb

Ref: ELK-ES20665-100μL
100μL

Información del producto

Información adicional
Storage Conditions -20°C/1 year
Applications IF
IHC
WB
Recomended Dilution WB: 1:1000-2000 IHC: 1:200-500
Type Clonality Polyclonal
Immunogen Recombinant Protein of MEK-5
Subcellular Location nucleus,cytoplasm,spindle,cytosol,
Iso type IgG
Tissue Source Rabbit
Reactivity Human
Mouse
Rat
Human Gen 5067
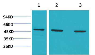
Observed Band 49kD
Other Name Dual specificity mitogen-activated protein kinase kinase 5
MAP2K5
MAPK/ERK kinase 5
MAPKK 5
MAP kinase kinase 5
MEK 5
MEK5
MKK5
PRKMK5
Background The protein encoded by this gene is a dual specificity protein kinase that belongs to the MAP kinase kinase family. This kinase specifically interacts with and activates MAPK7/ERK5. This kinase itself can be phosphorylated and activated by MAP3K3/MEKK3, a