Histone H3 (Phospho Thr32) rabbit pAb
  • Histone H3 (Phospho Thr32) rabbit pAb
ELK

Histone H3 (Phospho Thr32) rabbit pAb

Ref: ELK-ES20570-100μL
100μL

Información del producto

Información adicional
Storage Conditions -20°C/1 year
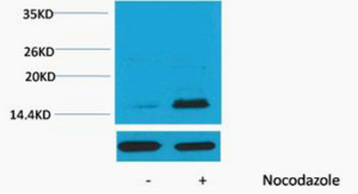
Applications WB
Recomended Dilution WB: 1:1000-2000
Type Clonality Polyclonal
Immunogen Synthetic Peptide of Histone H3 (Phospho Thr32)
Subcellular Location Nucleus. Chromosome.
Iso type IgG
Tissue Source Rabbit
Reactivity Human
Mouse
Rat
Human Gen 8350/8351/8352/8353/8354/8355/8356/8357/8358/8968
Observed Band 15-17kD
Other Name H3.3A
H3.3B
H3F2
H3F3
H3F3A
H3F3B
H3FA
H3FB
H3FC
H3FD
H3FF
H3FH
H3FI
H3FJ
H3FK
H3FL
H3FM
HIST1H3A
HIST1H3B
HIST1H3C
HIST1H3D
HIST1H3E
HIST1H3F
HIST1H3G
HIST1H3H
HIST1H3I
HIST1H3J
HIST2H3A
HIST2H3C
HIST2H3D
Histone H3.1
Histone H3.2
Histone H3.3
Histone H3/a
Histone H3/b
Histone H3/c
Histone H3/d
Histone H3/f
Histone H3/h
Histone H3/i
Histone H3/j
Histone H3/k
Histone H3/l
Histone H3/m
Histone H3/o
PP781
Background Histones are basic nuclear proteins that are responsible for the nucleosome structure of the chromosomal fiber in eukaryotes. This structure consists of approximately 146 bp of DNA wrapped around a nucleosome, an octamer composed of pairs of each of the f
instead, they contain a palindromic termination element. This gene is found in the large histone gene cluster on chromosome 6p22-p21.3. [provided by RefSeq, Aug 2015],