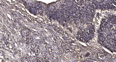
MMP8 (Cleaved-Leu101) rabbit pAb
  • MMP8 (Cleaved-Leu101) rabbit pAb
ELK

MMP8 (Cleaved-Leu101) rabbit pAb

Ref: ELK-ES20030-100μL
100μL

Información del producto

Información adicional
Storage Conditions -20°C/1 year
Applications IHC
WB
Concentration 1 mg/ml
Recomended Dilution IHC-p 1:50-300
WB 1:500-2000
Type Clonality Polyclonal
Immunogen Synthesized peptide derived from human MMP8 (Cleaved-Leu101)
Subcellular Location Cytoplasmic granule. Secreted, extracellular space, extracellular matrix . Stored in intracellular granules.
Iso type IgG
Tissue Source Rabbit
Reactivity Human
Mouse
Rat
Human Gen 4317
Observed Band 40 53kD
Other Name MMP-8
Matrix metalloproteinase-8
Neutrophil collagenase (EC 3.4.24.34
PMNL-CL)
PMNL collagenase
Background catalytic activity:Cleavage of interstitial collagens in the triple helical domain. Unlike EC 3.4.24.7, this enzyme cleaves type III collagen more slowly than type I.,cofactor:Binds 2 zinc ions per subunit.,cofactor:Binds 3 calcium ions per subunit.,domai