BLBP rabbit pAb
  • BLBP rabbit pAb
ELK

BLBP rabbit pAb

Ref: ELK-ES8615-100μL
100μL

Información del producto

Información adicional
Storage Conditions -20°C/1 year
Applications ELISA
WB
Concentration 1 mg/ml
Recomended Dilution WB 1:500-2000, ELISA 1:10000-20000
Type Clonality Polyclonal
Immunogen Synthetic peptide from human protein at AA range: 80-132
Subcellular Location Cytoplasm.
Iso type IgG
Tissue Source Rabbit
Reactivity Human
Rat
Human Gen 2173
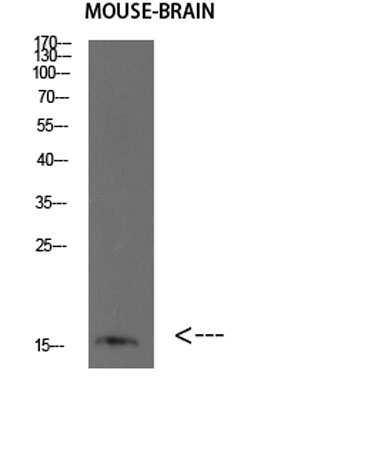
Observed Band 15kD
Other Name Fatty acid-binding protein, brain (Brain lipid-binding protein) (BLBP) (Brain-type fatty acid-binding protein) (B-FABP) (Fatty acid-binding protein 7) (Mammary-derived growth inhibitor related)
Background The gene encodes a small, highly conserved cytoplasmic protein that bind long-chain fatty acids and other hydrophobic ligands. The encoded protein is important in the establishment of the radial glial fiber in the developing brain. Alternative splicing an