p53(Phospho-Ser366) rabbit pAb
  • p53(Phospho-Ser366) rabbit pAb
ELK

p53(Phospho-Ser366) rabbit pAb

Ref: ELK-ES8603-100μL
100μL

Información del producto

Información adicional
Storage Conditions -20°C/1 year
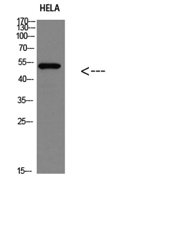
Applications ELISA
WB
Concentration 1 mg/ml
Recomended Dilution WB 1:500-2000, ELISA 1:10000-20000
Type Clonality Polyclonal
Immunogen Synthesized phospho-peptide around the phosphorylation site of human p53(Phospho-Ser366)
Subcellular Location Cytoplasm . Nucleus . Nucleus, PML body . Endoplasmic reticulum . Mitochondrion matrix . Cytoplasm, cytoskeleton, microtubule organizing center, centrosome . Recruited into PML bodies together with CHEK2 (PubMed:12810724). Translocates to mitochondria upo
[Isoform 1]: Nucleus . Cytoplasm. Predominantly nuclear but localizes to the cytoplasm when expressed with isoform 4.
[Isoform 2]: Nucleus. Cytoplasm. Localized mainly in the nucleus with minor staining in the cytoplasm.
[Isoform 3]: Nucleus. Cytoplasm. Localized in the nucleus in most cells but found in the cytoplasm in some cells.
[Isoform 4]: Nucleus. Cytoplasm. Predominantly nuclear but translocates to the cy
Iso type IgG
Tissue Source Rabbit
Reactivity Human
Mouse
Rat
Human Gen 7157
Observed Band 53kD
Other Name Cellular tumor antigen p53 (Antigen NY-CO-13) (Phosphoprotein p53) (Tumor suppressor p53)
Background tumor protein p53(TP53) Homo sapiens This gene encodes a tumor suppressor protein containing transcriptional activation, DNA binding, and oligomerization domains. The encoded protein responds to diverse cellular stresses to regulate expression of targe