TRIF rabbit pAb
  • TRIF rabbit pAb
ELK

TRIF rabbit pAb

Ref: ELK-ES8501-100μL
100μL

Información del producto

Información adicional
Storage Conditions -20°C/1 year
Applications ELISA
IF
IHC
WB
Concentration 1 mg/ml
Recomended Dilution WB 1:500-2000,IHC-p 1:50-200 ELISA 1:10000-20000
Type Clonality Polyclonal
Immunogen Synthesized peptide derived from TRIF at AA range: 663-712
Subcellular Location Cytoplasmic vesicle, autophagosome . Cytoplasm, cytosol . Mitochondrion . Colocalizes with UBQLN1 in the autophagosome (PubMed:21695056). Colocalizes in the cytosol with DDX1, DDX21 and DHX36. Colocalizes in the mitochondria with DDX1 and poly(I:C) RNA li
Iso type IgG
Tissue Source Rabbit
Reactivity Human
Mouse
Rat
Human Gen 148022
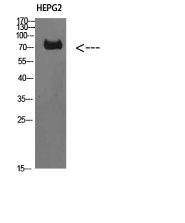
Observed Band 80kD
Other Name Proline-rich, vinculin and TIR domain-containing protein B
Putative NF-kappa-B-activating protein 502H
TIR domain-containing adapter molecule 1 (TICAM-1
TIR domain-containing adapter protein inducing IFN-beta)
Toll-interleukin-1 receptor domain-containing adapter protein inducing interferon beta
Background This gene encodes an adaptor protein containing a Toll/interleukin-1 receptor (TIR) homology domain, which is an intracellular signaling domain that mediates protein-protein interactions between the Toll-like receptors (TLRs) and signal-transduction compo