Sec16A rabbit pAb
  • Sec16A rabbit pAb
ELK

Sec16A rabbit pAb

Ref: ELK-ES8126-100μL
100μL

Información del producto

Información adicional
Storage Conditions -20°C/1 year
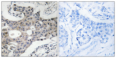
Applications ELISA
IF
IHC
Concentration 1 mg/ml
Recomended Dilution Immunohistochemistry: 1/100 - 1/300. ELISA: 1/20000. Not yet tested in other applications.
Type Clonality Polyclonal
Immunogen The antiserum was produced against synthesized peptide derived from human SEC16A. AA range:1013-1062
Subcellular Location Endoplasmic reticulum membrane
Peripheral membrane protein . Cytoplasm, perinuclear region . Cytoplasm, cytosol . Microsome membrane . SAR1A activity is required to maintain SEC16A localization at discrete locations on the ER membrane perhaps by preventing its dissociation (PubMed:1719
Peripheral membrane protein . Golgi apparatus membrane
Iso type IgG
Tissue Source Rabbit
Reactivity Human
Mouse
Rat
Human Gen 9919
Other Name KIAA0310
Protein transport protein Sec16A
SEC16
SEC16 homolog A
SEC16A
SEC16L
Background This gene encodes a protein that forms part of the Sec16 complex. This protein has a role in protein transport from the endoplasmic reticulum (ER) to the Golgi and mediates COPII vesicle formation at the transitional ER. Alternative splicing results in mu