RN-tre rabbit pAb
  • RN-tre rabbit pAb
ELK

RN-tre rabbit pAb

Ref: ELK-ES8089-100μL
100μL

Información del producto

Información adicional
Storage Conditions -20°C/1 year
Applications ELISA
IF
IHC
Concentration 1 mg/ml
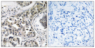
Recomended Dilution Immunohistochemistry: 1/100 - 1/300. ELISA: 1/10000. Not yet tested in other applications.
Type Clonality Polyclonal
Immunogen The antiserum was produced against synthesized peptide derived from human USP6NL. AA range:451-500
Subcellular Location Golgi apparatus. Cytoplasmic vesicle.
Iso type IgG
Tissue Source Rabbit
Reactivity Human
Mouse
Rat
Human Gen 9712
Other Name KIAA0019
RN-tre
Related to the N-terminus of tre
USP6 N-terminal-like protein
USP6NL
Background function:Acts as a GTPase-activating protein for RAB5A. Involved in receptor trafficking. In complex with EPS8 inhibits internalization of EGFR.,PTM:Phosphorylated upon DNA damage, probably by ATM or ATR.,similarity:Contains 1 Rab-GAP TBC domain.,subunit: