BTBD6 rabbit pAb
  • BTBD6 rabbit pAb
ELK

BTBD6 rabbit pAb

Ref: ELK-ES7931-100μL
100μL

Información del producto

Información adicional
Storage Conditions -20°C/1 year
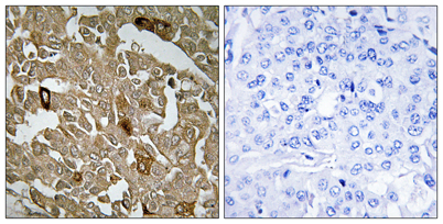
Applications ELISA
IF
IHC
WB
Concentration 1 mg/ml
Recomended Dilution Western Blot: 1/500 - 1/2000. Immunohistochemistry: 1/100 - 1/300. ELISA: 1/10000. Not yet tested in other applications.
Type Clonality Polyclonal
Immunogen The antiserum was produced against synthesized peptide derived from human BTBD6. AA range:91-140
Subcellular Location Cytoplasm . Found in punctated bodies in the cytoplasm. .
Iso type IgG
Tissue Source Rabbit
Reactivity Human
Mouse
Human Gen 90135
Observed Band 45kD
Other Name BDPL
BTB/POZ domain-containing protein 6
BTBD6
Lens BTB domain protein
Background similarity:Contains 1 BTB (POZ) domain.,tissue specificity:Expressed in lens.,