USP13 rabbit pAb
  • USP13 rabbit pAb
ELK

USP13 rabbit pAb

Ref: ELK-ES7916-100μL
100μL

Información del producto

Información adicional
Storage Conditions -20°C/1 year
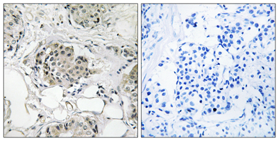
Applications ELISA
IF
IHC
WB
Concentration 1 mg/ml
Recomended Dilution Western Blot: 1/500 - 1/2000. Immunohistochemistry: 1/100 - 1/300. ELISA: 1/40000. Not yet tested in other applications.
Type Clonality Polyclonal
Immunogen The antiserum was produced against synthesized peptide derived from human USP13. AA range:811-860
Iso type IgG
Tissue Source Rabbit
Reactivity Human
Mouse
Human Gen 8975
Observed Band 97kD
Other Name Deubiquitinating enzyme 13
ISOT-3
ISOT3
Isopeptidase T-3
USP13
Ubiquitin-specific-processing protease 13
Ubiquitin carboxyl-terminal hydrolase 13
Ubiquitin thioesterase 13
Background catalytic activity:Ubiquitin C-terminal thioester + H(2)O = ubiquitin + a thiol.,similarity:Belongs to the peptidase C19 family.,similarity:Contains 1 UBP-type zinc finger.,similarity:Contains 2 UBA domains.,tissue specificity:Highly expressed in ovary an