LONP2 rabbit pAb
  • LONP2 rabbit pAb
ELK

LONP2 rabbit pAb

Ref: ELK-ES7708-100μL
100μL

Información del producto

Información adicional
Storage Conditions -20°C/1 year
Applications ELISA
IF
IHC
WB
Concentration 1 mg/ml
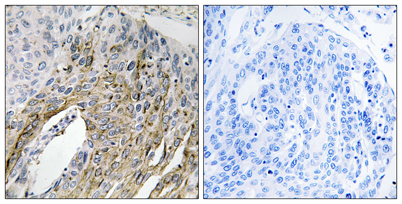
Recomended Dilution Western Blot: 1/500 - 1/2000. Immunohistochemistry: 1/100 - 1/300. ELISA: 1/40000. Not yet tested in other applications.
Type Clonality Polyclonal
Immunogen The antiserum was produced against synthesized peptide derived from human LONP2. AA range:780-829
Subcellular Location Peroxisome matrix .
Iso type IgG
Tissue Source Rabbit
Reactivity Human
Mouse
Rat
Human Gen 83752
Observed Band 95kD
Other Name LONP
LONP2
Lon protease-like protein 2
Lon protease 2
Lon protease homolog 2
Peroxisomal Lon protease
peroxisomal
Background function:Probable serine protease which may be involved in peroxisome biogenesis.,similarity:Belongs to the peptidase S16 family.,