NRIP2 rabbit pAb
  • NRIP2 rabbit pAb
ELK

NRIP2 rabbit pAb

Ref: ELK-ES7704-100μL
100μL

Información del producto

Información adicional
Storage Conditions -20°C/1 year
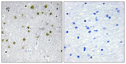
Applications ELISA
IF
IHC
Concentration 1 mg/ml
Recomended Dilution Immunohistochemistry: 1/100 - 1/300. ELISA: 1/20000. Not yet tested in other applications.
Type Clonality Polyclonal
Immunogen The antiserum was produced against synthesized peptide derived from human NRIP2. AA range:1-50
Subcellular Location Nucleus .
Iso type IgG
Tissue Source Rabbit
Reactivity Human
Mouse
Human Gen 83714
Other Name NRIP2
Nuclear receptor-interacting protein 2
Background function:Down-regulates transcriptional activation by nuclear receptors such as NR1F2.,subunit:Interacts with NR1F2, RARA and THRB in a ligand-dependent manner.,