Dynein LC 2B rabbit pAb
  • Dynein LC 2B rabbit pAb
ELK

Dynein LC 2B rabbit pAb

Ref: ELK-ES7700-100μL
100μL

Información del producto

Información adicional
Storage Conditions -20°C/1 year
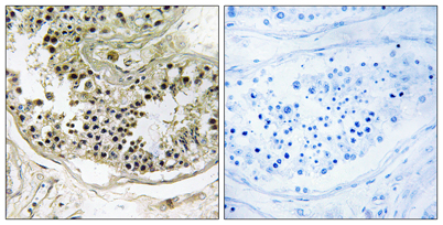
Applications ELISA
IF
IHC
Concentration 1 mg/ml
Recomended Dilution Immunohistochemistry: 1/100 - 1/300. ELISA: 1/10000. Not yet tested in other applications.
Type Clonality Polyclonal
Immunogen The antiserum was produced against synthesized peptide derived from human DYNLRB2. AA range:21-70
Subcellular Location Cytoplasm, cytoskeleton.
Iso type IgG
Tissue Source Rabbit
Reactivity Human
Mouse
Human Gen 83657
Other Name DNCL2B
DNLC2B
DYNLRB2
Dynein light chain 2B
Dynein light chain roadblock-type 2
ROBLD2
Roadblock domain-containing protein 2
cytoplasmic
Background function:May be involved in assembly and motor function of dynein, which plays a central role in cell division and intracellular transport.,miscellaneous:Expression is significantly down-regulated in hepatocellular carcinoma (HCC) patients.,similarity:Bel
low in lung, liver, thymus and leukocyte.,
moderate in kidney, pancreas, spleen, testis, ovary and colon