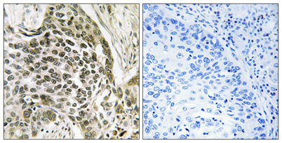
RASSF7 rabbit pAb
  • RASSF7 rabbit pAb
ELK

RASSF7 rabbit pAb

Ref: ELK-ES7617-100μL
100μL

Información del producto

Información adicional
Storage Conditions -20°C/1 year
Applications ELISA
IF
IHC
Concentration 1 mg/ml
Recomended Dilution Immunohistochemistry: 1/100 - 1/300. ELISA: 1/5000. Not yet tested in other applications.
Type Clonality Polyclonal
Immunogen The antiserum was produced against synthesized peptide derived from human RASSF7. AA range:159-208
Subcellular Location Cytoplasm, cytoskeleton, microtubule organizing center, centrosome . Colocalizes with gamma-tubulin.
Iso type IgG
Tissue Source Rabbit
Reactivity Human
Mouse
Human Gen 8045
Other Name C11orf13
HRAS1-related cluster protein 1
HRC1
RASSF7
Ras association domain-containing protein 7
Background similarity:Contains 1 Ras-associating domain.,