CNTD2 rabbit pAb
  • CNTD2 rabbit pAb
ELK

CNTD2 rabbit pAb

Ref: ELK-ES7601-100μL
100μL

Información del producto

Información adicional
Storage Conditions -20°C/1 year
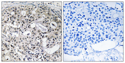
Applications ELISA
IF
IHC
Concentration 1 mg/ml
Recomended Dilution Immunohistochemistry: 1/100 - 1/300. ELISA: 1/40000. Not yet tested in other applications.
Type Clonality Polyclonal
Immunogen The antiserum was produced against synthesized peptide derived from human CNTD2. AA range:51-100
Subcellular Location Nucleus .
Iso type IgG
Tissue Source Rabbit
Reactivity Human
Mouse
Rat
Human Gen 79935
Other Name CNTD2
Cyclin N-terminal domain-containing protein 2
Background similarity:Belongs to the cyclin family.,similarity:Contains 1 cyclin N-terminal domain.,