IRX3 rabbit pAb
  • IRX3 rabbit pAb
ELK

IRX3 rabbit pAb

Ref: ELK-ES7570-100μL
100μL

Información del producto

Información adicional
Storage Conditions -20°C/1 year
Applications ELISA
IF
IHC
Concentration 1 mg/ml
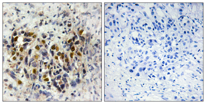
Recomended Dilution Immunohistochemistry: 1/100 - 1/300. ELISA: 1/20000. Not yet tested in other applications.
Type Clonality Polyclonal
Immunogen The antiserum was produced against synthesized peptide derived from human IRX3. AA range:271-320
Subcellular Location Nucleus .
Iso type IgG
Tissue Source Rabbit
Reactivity Human
Mouse
Human Gen 79191
Other Name Homeodomain protein IRXB1
IRX3
IRXB1
Iroquois-class homeodomain protein IRX-3
Iroquois homeobox protein 3
Background IRX3 is a member of the Iroquois homeobox gene family (see IRX1
MIM 606197) and plays a role in an early step of neural development (Bellefroid et al., 1998 [PubMed 9427753]). Members of this family appear to play multiple roles during pattern formation of vertebrate embryos (Lewis et al., 1999 [PubMed 10370142]).[sup