ZAP-70 rabbit pAb
  • ZAP-70 rabbit pAb
ELK

ZAP-70 rabbit pAb

Ref: ELK-ES7534-100μL
100μL

Información del producto

Información adicional
Storage Conditions -20°C/1 year
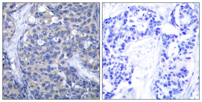
Applications ELISA
IF
IHC
WB
Concentration 1 mg/ml
Recomended Dilution Western Blot: 1/500 - 1/2000. Immunohistochemistry: 1/100 - 1/300. Immunofluorescence: 1/200 - 1/1000. ELISA: 1/10000. Not yet tested in other applications.
Type Clonality Polyclonal
Immunogen The antiserum was produced against synthesized peptide derived from human ZAP-70. AA range:286-335
Subcellular Location Cytoplasm . Cell membrane
Peripheral membrane protein . In quiescent T-lymphocytes, it is cytoplasmic. Upon TCR activation, it is recruited at the plasma membrane by interacting with CD247/CD3Z. Colocalizes together with RHOH in the immunological synapse. RHOH is required for its
Iso type IgG
Tissue Source Rabbit
Reactivity Human
Mouse
Rat
Human Gen 7535
Observed Band 70kD
Other Name 70 kDa zeta-chain associated protein
SRK
Syk-related tyrosine kinase
Tyrosine-protein kinase ZAP-70
ZAP70
Background This gene encodes an enzyme belonging to the protein tyrosine kinase family, and it plays a role in T-cell development and lymphocyte activation. This enzyme, which is phosphorylated on tyrosine residues upon T-cell antigen receptor (TCR) stimulation, fun