TSSC3 rabbit pAb
  • TSSC3 rabbit pAb
ELK

TSSC3 rabbit pAb

Ref: ELK-ES7455-100μL
100μL

Información del producto

Información adicional
Storage Conditions -20°C/1 year
Applications ELISA
IF
IHC
Concentration 1 mg/ml
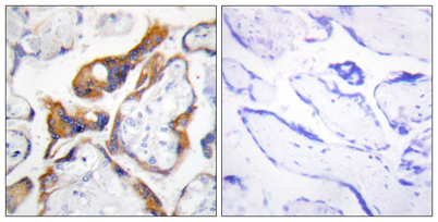
Recomended Dilution Immunohistochemistry: 1/100 - 1/300. ELISA: 1/20000. Not yet tested in other applications.
Type Clonality Polyclonal
Immunogen The antiserum was produced against synthesized peptide derived from human PHLDA2. AA range:81-130
Subcellular Location Cytoplasm . Membrane
Peripheral membrane protein .
Iso type IgG
Tissue Source Rabbit
Reactivity Human
Mouse
Rat
Human Gen 7262
Other Name BWR1C
Beckwith-Wiedemann syndrome chromosomal region 1 candidate gene C protein
HLDA2
IPL
Imprinted in placenta and liver protein
PHLDA2
Pleckstrin homology-like domain family A member 2
T
TSSC3
Tumor-suppressing STF cDNA 3 protein
Background This gene is located in a cluster of imprinted genes on chromosome 11p15.5, which is considered to be an important tumor suppressor gene region. Alterations in this region may be associated with the Beckwith-Wiedemann syndrome, Wilms tumor, rhabdomyosarco