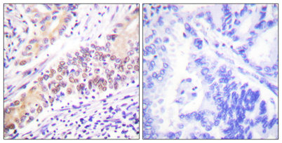
Topo IIβ rabbit pAb
  • Topo IIβ rabbit pAb
ELK

Topo IIβ rabbit pAb

Ref: ELK-ES7419-100μL
100μL

Información del producto

Información adicional
Storage Conditions -20°C/1 year
Applications ELISA
IF
IHC
WB
Concentration 1 mg/ml
Recomended Dilution Western Blot: 1/500 - 1/2000. Immunohistochemistry: 1/100 - 1/300. ELISA: 1/20000. Not yet tested in other applications.
Type Clonality Polyclonal
Immunogen The antiserum was produced against synthesized peptide derived from human TOP2B. AA range:1-50
Subcellular Location Nucleus, nucleolus . Nucleus, nucleoplasm . Nucleus .
Iso type IgG
Tissue Source Rabbit
Reactivity Human
Mouse
Human Gen 7155
Observed Band 183kD
Other Name DNA topoisomerase 2-beta
DNA topoisomerase II
TOP2B
beta isozyme
Background This gene encodes a DNA topoisomerase, an enzyme that controls and alters the topologic states of DNA during transcription. This nuclear enzyme is involved in processes such as chromosome condensation, chromatid separation, and the relief of torsional str