Tenascin-X rabbit pAb
  • Tenascin-X rabbit pAb
ELK

Tenascin-X rabbit pAb

Ref: ELK-ES7410-100μL
100μL

Información del producto

Información adicional
Storage Conditions -20°C/1 year
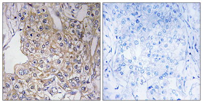
Applications ELISA
IF
IHC
Concentration 1 mg/ml
Recomended Dilution Immunohistochemistry: 1/100 - 1/300. ELISA: 1/10000. Not yet tested in other applications.
Type Clonality Polyclonal
Immunogen The antiserum was produced against synthesized peptide derived from human TNXB. AA range:1761-1810
Subcellular Location Secreted, extracellular space, extracellular matrix.
Iso type IgG
Tissue Source Rabbit
Reactivity Human
Mouse
Rat
Human Gen 7148
Other Name HXBL
Hexabrachion-like protein
TN-X
TNX
TNXB
TNXB1
TNXB2
Tenascin-X
XB
Background This gene encodes a member of the tenascin family of extracellular matrix glycoproteins. The tenascins have anti-adhesive effects, as opposed to fibronectin which is adhesive. This protein is thought to function in matrix maturation during wound healing,