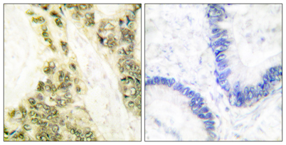
TRα rabbit pAb
  • TRα rabbit pAb
ELK

TRα rabbit pAb

Ref: ELK-ES7389-100μL
100μL

Información del producto

Información adicional
Storage Conditions -20°C/1 year
Applications ELISA
IF
IHC
WB
Concentration 1 mg/ml
Recomended Dilution Western Blot: 1/500 - 1/2000. Immunohistochemistry: 1/100 - 1/300. ELISA: 1/10000. Not yet tested in other applications.
Type Clonality Polyclonal
Immunogen The antiserum was produced against synthesized peptide derived from human Thyroid Hormone Receptor alpha. AA range:10-59
Subcellular Location Nucleus.
[Isoform Alpha-2]: Cytoplasm . Nucleus . When overexpressed found in the cytoplasm where it colocalizes with TACC1. .
Iso type IgG
Tissue Source Rabbit
Reactivity Human
Mouse
Rat
Human Gen 7067
Observed Band 55kD
Other Name EAR-7
EAR7
ERBA1
NR1A1
Nuclear receptor subfamily 1 group A member 1
THRA
THRA1
THRA2
Thyroid hormone receptor alpha
V-erbA-related protein 7
c-erbA-1
c-erbA-alpha
Background The protein encoded by this gene is a nuclear hormone receptor for triiodothyronine. It is one of the several receptors for thyroid hormone, and has been shown to mediate the biological activities of thyroid hormone. Knockout studies in mice suggest that