TP1 rabbit pAb
  • TP1 rabbit pAb
ELK

TP1 rabbit pAb

Ref: ELK-ES7368-100μL
100μL

Información del producto

Información adicional
Storage Conditions -20°C/1 year
Applications ELISA
IF
IHC
Concentration 1 mg/ml
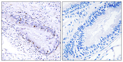
Recomended Dilution Immunohistochemistry: 1/100 - 1/300. ELISA: 1/10000. Not yet tested in other applications.
Type Clonality Polyclonal
Immunogen The antiserum was produced against synthesized peptide derived from human TEP1. AA range:171-220
Subcellular Location Nucleus . Chromosome, telomere.
Iso type IgG
Tissue Source Rabbit
Reactivity Human
Mouse
Rat
Human Gen 7011
Other Name TEP1
TLP1
TP1
Telomerase-associated protein 1
Telomerase protein 1
Telomerase protein component 1
p80 telomerase homolog
p240
Background This gene product is a component of the ribonucleoprotein complex responsible for telomerase activity which catalyzes the addition of new telomeres on the chromosome ends. The telomerase-associated proteins are conserved from ciliates to humans. Alternati