Blk (phospho Tyr501) rabbit pAb
  • Blk (phospho Tyr501) rabbit pAb
ELK

Blk (phospho Tyr501) rabbit pAb

Ref: ELK-ES7144-100μL
100μL

Información del producto

Información adicional
Storage Conditions -20°C/1 year
Applications ELISA
IF
IHC
Concentration 1 mg/ml
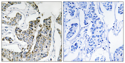
Recomended Dilution Immunohistochemistry: 1/100 - 1/300. ELISA: 1/20000. Not yet tested in other applications.
Type Clonality Polyclonal
Immunogen The antiserum was produced against synthesized peptide derived from human BLK around the phosphorylation site of Tyr501. AA range:456-505
Subcellular Location Cell membrane
Lipid-anchor . Present and active in lipid rafts. Membrane location is required for the phosphorylation of CD79A and CD79B (By similarity). .
Iso type IgG
Tissue Source Rabbit
Reactivity Human
Mouse
Rat
Human Gen 640
Other Name BLK
B lymphocyte kinase
Tyrosine-protein kinase Blk
p55-Blk
Background This gene encodes a nonreceptor tyrosine-kinase of the src family of proto-oncogenes that are typically involved in cell proliferation and differentiation. The protein has a role in B-cell receptor signaling and B-cell development. The protein also stimul