S-100A3 rabbit pAb
  • S-100A3 rabbit pAb
ELK

S-100A3 rabbit pAb

Ref: ELK-ES7113-100μL
100μL

Información del producto

Información adicional
Storage Conditions -20°C/1 year
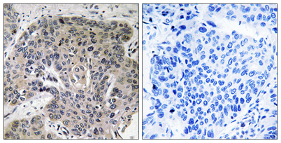
Applications ELISA
IF
IHC
WB
Concentration 1 mg/ml
Recomended Dilution Immunohistochemistry: 1/100 - 1/300. ELISA: 1/40000. Not yet tested in other applications.
Type Clonality Polyclonal
Immunogen The antiserum was produced against synthesized peptide derived from human S100A3. AA range:26-75
Subcellular Location Cytoplasm .
Iso type IgG
Tissue Source Rabbit
Reactivity Human
Mouse
Rat
Human Gen 6274
Observed Band 22kD
Other Name Protein S-100E
Protein S100-A3
S100 calcium-binding protein A3
S100A3
S100E
Background S100 calcium binding protein A3(S100A3) Homo sapiens The protein encoded by this gene is a member of the S100 family of proteins containing 2 EF-hand calcium-binding motifs. S100 proteins are localized in the cytoplasm and/or nucleus of a wide range of