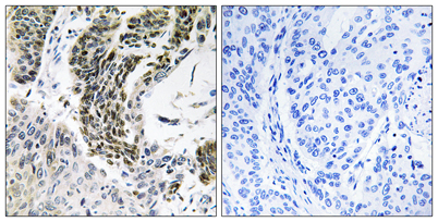
RREB1 rabbit pAb
  • RREB1 rabbit pAb
ELK

RREB1 rabbit pAb

Ref: ELK-ES7108-100μL
100μL

Información del producto

Información adicional
Storage Conditions -20°C/1 year
Applications ELISA
IF
IHC
WB
Concentration 1 mg/ml
Recomended Dilution Western Blot: 1/500 - 1/2000. Immunohistochemistry: 1/100 - 1/300. ELISA: 1/20000. Not yet tested in other applications.
Type Clonality Polyclonal
Immunogen The antiserum was produced against synthesized peptide derived from human RREB1. AA range:560-609
Subcellular Location Nucleus speckle .
Iso type IgG
Tissue Source Rabbit
Reactivity Human
Mouse
Human Gen 6239
Observed Band 180kD
Other Name FINB
Finger protein in nuclear bodies
RREB-1
RREB1
Raf-responsive zinc finger protein LZ321
Ras-responsive element-binding protein 1
Zep-1
Zinc finger motif enhancer-binding protein 1
Background ras responsive element binding protein 1(RREB1) Homo sapiens The protein encoded by this gene is a zinc finger transcription factor that binds to RAS-responsive elements (RREs) of gene promoters. It has been shown that the calcitonin gene promoter cont