Ribosomal Protein LP2 rabbit pAb
  • Ribosomal Protein LP2 rabbit pAb
ELK

Ribosomal Protein LP2 rabbit pAb

Ref: ELK-ES7074-100μL
100μL

Información del producto

Información adicional
Storage Conditions -20°C/1 year
Applications ELISA
IF
IHC
Concentration 1 mg/ml
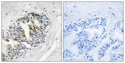
Recomended Dilution Immunohistochemistry: 1/100 - 1/300. ELISA: 1/40000. Not yet tested in other applications.
Type Clonality Polyclonal
Immunogen The antiserum was produced against synthesized peptide derived from human RPLP2. AA range:21-70
Subcellular Location cytosol,ribosome,focal adhesion,membrane,cytosolic large ribosomal subunit,preribosome, large subunit precursor,extracellular exosome,
Iso type IgG
Tissue Source Rabbit
Reactivity Human
Mouse
Rat
Human Gen 6181
Other Name 60S acidic ribosomal protein P2
D11S2243E
RPLP2
RPP2
Renal carcinoma antigen NY-REN-44
Background Ribosomes, the organelles that catalyze protein synthesis, consist of a small 40S subunit and a large 60S subunit. Together these subunits are composed of 4 RNA species and approximately 80 structurally distinct proteins. This gene encodes a ribosomal pho