RGS16 rabbit pAb
  • RGS16 rabbit pAb
ELK

RGS16 rabbit pAb

Ref: ELK-ES7045-100μL
100μL

Información del producto

Información adicional
Storage Conditions -20°C/1 year
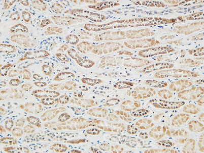
Applications ELISA
IF
IHC
Concentration 1 mg/ml
Recomended Dilution Immunohistochemistry: 1/100 - 1/300. Immunofluorescence: 1/200 - 1/1000. ELISA: 1/20000. Not yet tested in other applications.
Type Clonality Polyclonal
Immunogen The antiserum was produced against synthesized peptide derived from human RGS16. AA range:141-190
Subcellular Location Lipid-anchor .
Membrane
Iso type IgG
Tissue Source Rabbit
Reactivity Human
Mouse
Rat
Human Gen 6004
Other Name A28-RGS14P
RGS-r
RGS16
RGS16
RGSR
Regulator of G-protein signaling 16
Retinal-specific RGS
Retinally abundant regulator of G-protein signaling
hRGS-r
Background The protein encoded by this gene belongs to the 'regulator of G protein signaling' family. It inhibits signal transduction by increasing the GTPase activity of G protein alpha subunits. It also may play a role in regulating the kinetics of signaling in th