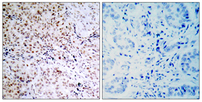
Rb (phospho Ser795) rabbit pAb
  • Rb (phospho Ser795) rabbit pAb
ELK

Rb (phospho Ser795) rabbit pAb

Ref: ELK-ES6993-100μL
100μL

Información del producto

Información adicional
Storage Conditions -20°C/1 year
Applications ELISA
IF
IHC
WB
Concentration 1 mg/ml
Recomended Dilution Western Blot: 1/500 - 1/2000. Immunohistochemistry: 1/100 - 1/300. ELISA: 1/10000. Not yet tested in other applications.
Type Clonality Polyclonal
Immunogen The antiserum was produced against synthesized peptide derived from human Retinoblastoma around the phosphorylation site of Ser795. AA range:761-810
Subcellular Location Nucleus . During keratinocyte differentiation, acetylation by KAT2B/PCAF is required for nuclear localization. .
Iso type IgG
Tissue Source Rabbit
Reactivity Human
Mouse
Rat
Human Gen 5925
Observed Band 106kD
Other Name RB1
Rb
Retinoblastoma-associated protein
p105-Rb
pRb
pp110
Background The protein encoded by this gene is a negative regulator of the cell cycle and was the first tumor suppressor gene found. The encoded protein also stabilizes constitutive heterochromatin to maintain the overall chromatin structure. The active, hypophospho