Pxmp2 rabbit pAb
  • Pxmp2 rabbit pAb
ELK

Pxmp2 rabbit pAb

Ref: ELK-ES6951-100μL
100μL

Información del producto

Información adicional
Storage Conditions -20°C/1 year
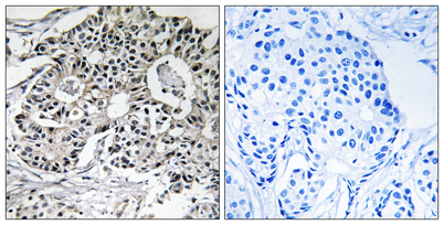
Applications ELISA
IF
IHC
Concentration 1 mg/ml
Recomended Dilution Immunohistochemistry: 1/100 - 1/300. ELISA: 1/20000. Not yet tested in other applications.
Type Clonality Polyclonal
Immunogen The antiserum was produced against synthesized peptide derived from human PXMP2. AA range:38-87
Subcellular Location Multi-pass membrane protein.
Peroxisome membrane
Iso type IgG
Tissue Source Rabbit
Reactivity Human
Mouse
Rat
Human Gen 5827
Other Name 22 kDa peroxisomal membrane protein
PMP22
PXMP2
Peroxisomal membrane protein 2
Background function:Seems to be involved in pore-forming activity and may contribute to the unspecific permeability of the peroxisomal membrane.,similarity:Belongs to the peroxisomal membrane protein PXMP2/4 family.,subunit:Interacts with PEX19 and SIVA1.,