NDRG3 rabbit pAb
  • NDRG3 rabbit pAb
ELK

NDRG3 rabbit pAb

Ref: ELK-ES6895-100μL
100μL

Información del producto

Información adicional
Storage Conditions -20°C/1 year
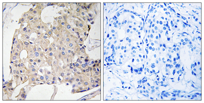
Applications ELISA
IF
IHC
WB
Concentration 1 mg/ml
Recomended Dilution Western Blot: 1/500 - 1/2000. Immunohistochemistry: 1/100 - 1/300. ELISA: 1/40000. Not yet tested in other applications.
Type Clonality Polyclonal
Immunogen The antiserum was produced against synthesized peptide derived from human NDRG3. AA range:206-255
Subcellular Location cytoplasm,extracellular exosome,
Iso type IgG
Tissue Source Rabbit
Reactivity Human
Mouse
Rat
Human Gen 57446
Observed Band 45kD
Other Name N-myc downstream-regulated gene 3 protein
NDRG3
Protein NDRG3
Background similarity:Belongs to the NDRG family.,tissue specificity:Ubiquitous. Highly expressed in brain.,