Formin 2 rabbit pAb
  • Formin 2 rabbit pAb
ELK

Formin 2 rabbit pAb

Ref: ELK-ES6855-100μL
100μL

Información del producto

Información adicional
Storage Conditions -20°C/1 year
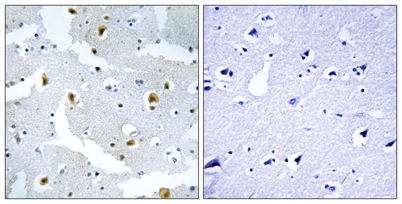
Applications ELISA
IF
IHC
Concentration 1 mg/ml
Recomended Dilution Immunohistochemistry: 1/100 - 1/300. ELISA: 1/40000. Not yet tested in other applications.
Type Clonality Polyclonal
Immunogen The antiserum was produced against synthesized peptide derived from human FMN2. AA range:1541-1590
Subcellular Location Cytoplasm, cytoskeleton . Cytoplasm, cytosol . Cytoplasm, perinuclear region . Nucleus . Nucleus, nucleolus . Cell membrane
Cytoplasmic side . Cytoplasm, cell cortex . Colocalizes with the actin cytoskeleton (PubMed:20082305). Recruited to the membranes via its interaction with SPIRE1 (By similarity). Detected at the cleavage furrow during asymmetric oocyte division and polar
Cytoplasmic side . Cytoplasmic vesicle membrane
Peripheral membrane protein
Peripheral membrane protein
Iso type IgG
Tissue Source Rabbit
Reactivity Human
Mouse
Human Gen 56776
Other Name FMN2
Formin-2
Background This gene is a member of the formin homology protein family. The encoded protein is thought to have essential roles in organization of the actin cytoskeleton and in cell polarity. Mutations in this gene have been associated with mental retardation autosom