ATP5G2 rabbit pAb
  • ATP5G2 rabbit pAb
ELK

ATP5G2 rabbit pAb

Ref: ELK-ES6554-50ul
50ul

Información del producto

Información adicional
Storage Conditions -20°C/1 year
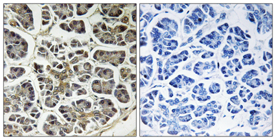
Applications ELISA
IF
IHC
WB
Concentration 1 mg/ml
Recomended Dilution Immunohistochemistry: 1/100 - 1/300. ELISA: 1/40000. Not yet tested in other applications.
Type Clonality Polyclonal
Immunogen The antiserum was produced against synthesized peptide derived from human ATP5G2. AA range:1-50
Subcellular Location Mitochondrion membrane
Multi-pass membrane protein.
Iso type IgG
Tissue Source Rabbit
Reactivity Human
Mouse
Rat
Human Gen 517
Other Name ATP5G2
ATPase protein 9
ATPase subunit c
ATP synthase lipid-binding protein
ATP synthase proteolipid P2
PSEC0033
mitochondrial
Background This gene encodes a subunit of mitochondrial ATP synthase. Mitochondrial ATP synthase catalyzes ATP synthesis, utilizing an electrochemical gradient of protons across the inner membrane during oxidative phosphorylation. ATP synthase is composed of two lin