CDK5 Activator-binding C42 rabbit pAb
  • CDK5 Activator-binding C42 rabbit pAb
ELK

CDK5 Activator-binding C42 rabbit pAb

Ref: ELK-ES6553-50ul
50ul

Información del producto

Información adicional
Storage Conditions -20°C/1 year
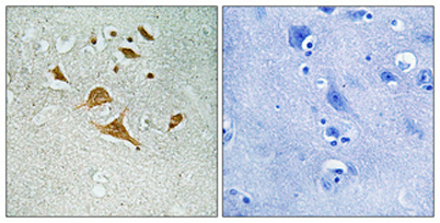
Applications ELISA
IF
IHC
Concentration 1 mg/ml
Recomended Dilution Immunohistochemistry: 1/100 - 1/300. ELISA: 1/20000. Not yet tested in other applications.
Type Clonality Polyclonal
Immunogen The antiserum was produced against synthesized peptide derived from human CDK5RAP1. AA range:251-300
Subcellular Location Mitochondrion .
Iso type IgG
Tissue Source Rabbit
Reactivity Human
Mouse
Rat
Human Gen 51654
Other Name C20orf34
CDK5 activator-binding protein C42
CDK5 regulatory subunit-associated protein 1
CDK5RAP1
CGI-05
HSPC167
Background This gene encodes a regulator of cyclin-dependent kinase 5 activity. This protein has also been reported to modify RNA by adding a methylthio-group and may thus have a dual function as an RNA methylthiotransferase and as an inhibitor of cyclin-dependent k