Ubiquilin-3 rabbit pAb
  • Ubiquilin-3 rabbit pAb
ELK

Ubiquilin-3 rabbit pAb

Ref: ELK-ES6466-50ul
50ul

Información del producto

Información adicional
Storage Conditions -20°C/1 year
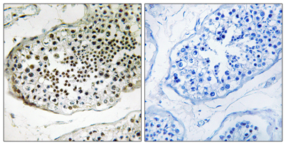
Applications ELISA
IF
IHC
WB
Concentration 1 mg/ml
Recomended Dilution Western Blot: 1/500 - 1/2000. Immunohistochemistry: 1/100 - 1/300. ELISA: 1/40000. Not yet tested in other applications.
Type Clonality Polyclonal
Immunogen The antiserum was produced against synthesized peptide derived from human UBQLN3. AA range:271-320
Iso type IgG
Tissue Source Rabbit
Reactivity Human
Mouse
Rat
Human Gen 50613
Observed Band 70kD
Other Name UBQLN3
Ubiquilin-3
Background Summary: This gene encodes an ubiquitin-like protein (ubiquilin) that shares high degree of similarity with related products in yeast, rat and frog. Ubiquilins contain a N-terminal ubiquitin-like domain and a C-terminal ubiquitin-associated domain. They p