c-Myc (phospho Thr358) rabbit pAb
  • c-Myc (phospho Thr358) rabbit pAb
ELK

c-Myc (phospho Thr358) rabbit pAb

Ref: ELK-ES6306-50ul
50ul

Información del producto

Información adicional
Storage Conditions -20°C/1 year
Applications ELISA
IF
IHC
IP
Concentration 1 mg/ml
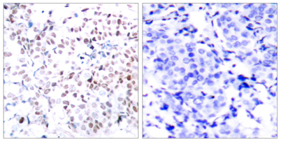
Recomended Dilution Immunohistochemistry: 1/100 - 1/300. Immunoprecipitation: 2-5 ug/mg lysate. ELISA: 1/20000. Not yet tested in other applications.
Type Clonality Polyclonal
Immunogen The antiserum was produced against synthesized peptide derived from human Myc around the phosphorylation site of Thr358. AA range:325-374
Subcellular Location Nucleus, nucleoplasm . Nucleus, nucleolus .
Iso type IgG
Tissue Source Rabbit
Reactivity Human
Mouse
Rat
Human Gen 4609
Observed Band 50,(also ~60KD in some samples)
Other Name BHLHE39
Class E basic helix-loop-helix protein 39
MYC
Myc proto-oncogene protein
Proto-oncogene c-Myc
Transcription factor p64
bHLHe39
Background The protein encoded by this gene is a multifunctional, nuclear phosphoprotein that plays a role in cell cycle progression, apoptosis and cellular transformation. It functions as a transcription factor that regulates transcription of specific target genes.