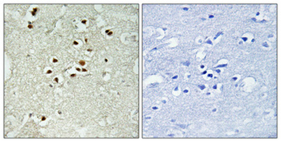
DNA Ligase IV (phospho Thr650) rabbit pAb
  • DNA Ligase IV (phospho Thr650) rabbit pAb
ELK

DNA Ligase IV (phospho Thr650) rabbit pAb

Ref: ELK-ES6112-50ul
50ul

Información del producto

Información adicional
Storage Conditions -20°C/1 year
Applications ELISA
IF
IHC
Concentration 1 mg/ml
Recomended Dilution Immunohistochemistry: 1/100 - 1/300. ELISA: 1/10000. Not yet tested in other applications.
Type Clonality Polyclonal
Immunogen The antiserum was produced against synthesized peptide derived from human DNA Ligase 4 around the phosphorylation site of Thr650. AA range:616-665
Subcellular Location Nucleus .
Iso type IgG
Tissue Source Rabbit
Reactivity Human
Mouse
Rat
Human Gen 3981
Other Name DNA ligase 4
DNA ligase IV
LIG4
Polydeoxyribonucleotide synthase [ATP] 4
Background The protein encoded by this gene is a DNA ligase that joins single-strand breaks in a double-stranded polydeoxynucleotide in an ATP-dependent reaction. This protein is essential for V(D)J recombination and DNA double-strand break (DSB) repair through nonh