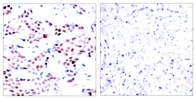
AP-1 (phospho Thr91) rabbit pAb
  • AP-1 (phospho Thr91) rabbit pAb
ELK

AP-1 (phospho Thr91) rabbit pAb

Ref: ELK-ES5978-50ul
50ul

Información del producto

Información adicional
Storage Conditions -20°C/1 year
Applications ELISA
IF
IHC
WB
Concentration 1 mg/ml
Recomended Dilution Western Blot: 1/500 - 1/2000. Immunohistochemistry: 1/100 - 1/300. ELISA: 1/20000. Not yet tested in other applications.
Type Clonality Polyclonal
Immunogen The antiserum was produced against synthesized peptide derived from human c-Jun around the phosphorylation site of Thr91. AA range:58-107
Subcellular Location Nucleus.
Iso type IgG
Tissue Source Rabbit
Reactivity Human
Mouse
Rat
Human Gen 3725
Observed Band 39-42kD
Other Name AP1
Activator protein 1
JUN
Proto-oncogene c-Jun
Transcription factor AP-1
V-jun avian sarcoma virus 17 oncogene homolog
p39
Background This gene is the putative transforming gene of avian sarcoma virus 17. It encodes a protein which is highly similar to the viral protein, and which interacts directly with specific target DNA sequences to regulate gene expression. This gene is intronless