AR (phospho Ser213) rabbit pAb
  • AR (phospho Ser213) rabbit pAb
ELK

AR (phospho Ser213) rabbit pAb

Ref: ELK-ES5934-50ul
50ul

Información del producto

Información adicional
Storage Conditions -20°C/1 year
Applications ELISA
IF
IHC
Concentration 1 mg/ml
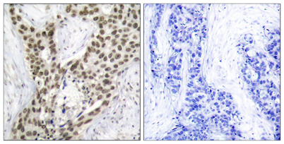
Recomended Dilution Immunohistochemistry: 1/100 - 1/300. ELISA: 1/40000. Not yet tested in other applications.
Type Clonality Polyclonal
Immunogen The antiserum was produced against synthesized peptide derived from human Androgen Receptor around the phosphorylation site of Ser213. AA range:186-235
Subcellular Location Nucleus . Cytoplasm . Detected at the promoter of target genes (PubMed:25091737). Predominantly cytoplasmic in unligated form but translocates to the nucleus upon ligand-binding. Can also translocate to the nucleus in unligated form in the presence of RAC
Iso type IgG
Tissue Source Rabbit
Reactivity Human
Mouse
Rat
Human Gen 367
Other Name AR
Androgen receptor
DHTR
Dihydrotestosterone receptor
NR3C4
Nuclear receptor subfamily 3 group C member 4
Background The androgen receptor gene is more than 90 kb long and codes for a protein that has 3 major functional domains: the N-terminal domain, DNA-binding domain, and androgen-binding domain. The protein functions as a steroid-hormone activated transcription fact