IGFBP7 rabbit pAb
  • IGFBP7 rabbit pAb
ELK

IGFBP7 rabbit pAb

Ref: ELK-ES5858-50ul
50ul

Información del producto

Información adicional
Storage Conditions -20°C/1 year
Applications ELISA
IF
IHC
Concentration 1 mg/ml
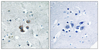
Recomended Dilution Immunohistochemistry: 1/100 - 1/300. ELISA: 1/40000. Not yet tested in other applications.
Type Clonality Polyclonal
Immunogen The antiserum was produced against synthesized peptide derived from human IBP7. AA range:191-240
Subcellular Location Secreted.
Iso type IgG
Tissue Source Rabbit
Reactivity Human
Mouse
Rat
Human Gen 3490
Other Name IBP-7
IGF-binding protein 7
IGFBP-7
IGFBP-rP1
IGFBP7
Insulin-like growth factor-binding protein 7
MAC25
MAC25 protein
PGI2-stimulating factor
PSF
Prostacyclin-stimulating factor
TAF
Tumor-derived adhesion factor
Background This gene encodes a member of the insulin-like growth factor (IGF)-binding protein (IGFBP) family. IGFBPs bind IGFs with high affinity, and regulate IGF availability in body fluids and tissues and modulate IGF binding to its receptors. This protein binds