Huntingtin rabbit pAb
  • Huntingtin rabbit pAb
ELK

Huntingtin rabbit pAb

Ref: ELK-ES5728-50ul
50ul

Información del producto

Información adicional
Storage Conditions -20°C/1 year
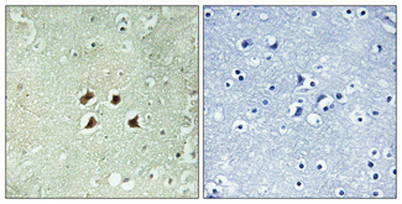
Applications ELISA
IF
IHC
Concentration 1 mg/ml
Recomended Dilution Immunohistochemistry: 1/100 - 1/300. ELISA: 1/5000. Not yet tested in other applications.
Type Clonality Polyclonal
Immunogen The antiserum was produced against synthesized peptide derived from human Huntingtin. AA range:387-436
Subcellular Location [Huntingtin, myristoylated N-terminal fragment]: Cytoplasmic vesicle, autophagosome .
[Huntingtin]: Cytoplasm . Nucleus . Early endosome . The mutant Huntingtin protein colocalizes with AKAP8L in the nuclear matrix of Huntington disease neurons. Shuttles between cytoplasm and nucleus in a Ran GTPase-independent manner (PubMed:15654337). Re
Iso type IgG
Tissue Source Rabbit
Reactivity Human
Mouse
Rat
Human Gen 3064
Other Name HD
HD protein
HTT
Huntingtin
Huntington disease protein
IT15
Background huntingtin(HTT) Homo sapiens Huntingtin is a disease gene linked to Huntington's disease, a neurodegenerative disorder characterized by loss of striatal neurons. This is thought to be caused by an expanded, unstable trinucleotide repeat in the huntingt