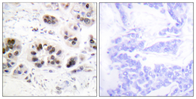
Acetyl Histone H2A (K5) rabbit pAb
  • Acetyl Histone H2A (K5) rabbit pAb
ELK

Acetyl Histone H2A (K5) rabbit pAb

Ref: ELK-ES5713-50ul
50ul

Información del producto

Información adicional
Storage Conditions -20°C/1 year
Applications ELISA
IF
IHC
WB
Concentration 1 mg/ml
Recomended Dilution WB 1:500-2000 Immunohistochemistry: 1/100 - 1/300. ELISA: 1/5000. Not yet tested in other applications.
Type Clonality Polyclonal
Immunogen The antiserum was produced against synthesized peptide derived from human Histone H2A around the acetylated site of Lys5. AA range:1-50
Subcellular Location Nucleus. Chromosome.
Iso type IgG
Tissue Source Rabbit
Reactivity Human
Mouse
Rat
Human Gen 3015
Observed Band 14kD
Other Name H2A/z
H2AFZ
H2AZ
Histone H2A.Z
Background Histones are basic nuclear proteins that are responsible for the nucleosome structure of the chromosomal fiber in eukaryotes. Nucleosomes consist of approximately 146 bp of DNA wrapped around a histone octamer composed of pairs of each of the four core hi