GRIN3 rabbit pAb
  • GRIN3 rabbit pAb
ELK

GRIN3 rabbit pAb

Ref: ELK-ES5610-50ul
50ul

Información del producto

Información adicional
Storage Conditions -20°C/1 year
Applications ELISA
IF
IHC
Concentration 1 mg/ml
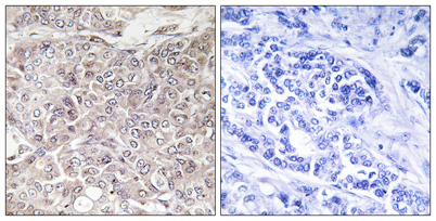
Recomended Dilution Immunohistochemistry: 1/100 - 1/300. ELISA: 1/40000. Not yet tested in other applications.
Type Clonality Polyclonal
Immunogen The antiserum was produced against synthesized peptide derived from human GPRIN3. AA range:131-180
Iso type IgG
Tissue Source Rabbit
Reactivity Human
Mouse
Rat
Human Gen 285513
Other Name GPRIN3
GRIN3
G protein-regulated inducer of neurite outgrowth 3
KIAA2027
Background function:May be involved in neurite outgrowth.,