GIDRP88 rabbit pAb
  • GIDRP88 rabbit pAb
ELK

GIDRP88 rabbit pAb

Ref: ELK-ES5553-50ul
50ul

Información del producto

Información adicional
Storage Conditions -20°C/1 year
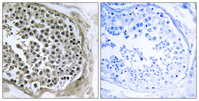
Applications ELISA
IF
IHC
WB
Concentration 1 mg/ml
Recomended Dilution Western Blot: 1/500 - 1/2000. Immunohistochemistry: 1/100 - 1/300. ELISA: 1/40000. Not yet tested in other applications.
Type Clonality Polyclonal
Immunogen The antiserum was produced against synthesized peptide derived from human GIDRP88. AA range:721-770
Subcellular Location exon-exon junction complex,
Iso type IgG
Tissue Source Rabbit
Reactivity Human
Monkey
Mouse
Human Gen 27291
Observed Band 88kD
Other Name C10orf28
GIDRP88
Growth inhibition and differentiation-related protein 88
Putative mitochondrial space protein 32.1
R3HCC1L
R3H and coiled-coil domain-containing protein 1-like
Background tissue specificity:Expressed in placenta.,