LAT (phospho Tyr191) rabbit pAb
  • LAT (phospho Tyr191) rabbit pAb
ELK

LAT (phospho Tyr191) rabbit pAb

Ref: ELK-ES5534-50ul
50ul

Información del producto

Información adicional
Storage Conditions -20°C/1 year
Applications ELISA
IF
IHC
WB
Concentration 1 mg/ml
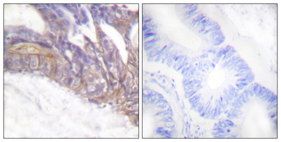
Recomended Dilution Western Blot: 1/500 - 1/2000. Immunohistochemistry: 1/100 - 1/300. ELISA: 1/5000. Not yet tested in other applications.
Type Clonality Polyclonal
Immunogen The antiserum was produced against synthesized peptide derived from human LAT around the phosphorylation site of Tyr191. AA range:191-240
Subcellular Location Cell membrane
Single-pass type III membrane protein . Present in lipid rafts.
Iso type IgG
Tissue Source Rabbit
Reactivity Human
Mouse
Rat
Human Gen 27040
Observed Band 28kD
Other Name 36 kDa phospho-tyrosine adapter protein
LAT
Linker for activation of T-cells family member 1
p36-38
pp36
Background The protein encoded by this gene is phosphorylated by ZAP-70/Syk protein tyrosine kinases following activation of the T-cell antigen receptor (TCR) signal transduction pathway. This transmembrane protein localizes to lipid rafts and acts as a docking site