Connexin 46 rabbit pAb
  • Connexin 46 rabbit pAb
ELK

Connexin 46 rabbit pAb

Ref: ELK-ES5527-50ul
50ul

Información del producto

Información adicional
Storage Conditions -20°C/1 year
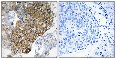
Applications ELISA
IF
IHC
Concentration 1 mg/ml
Recomended Dilution ELISA 1:5000-20000
IF/ICC 1:100-500
IHC-p 1:100-500
Type Clonality Polyclonal
Immunogen The antiserum was produced against synthesized peptide derived from human GJA3. AA range:151-200
Subcellular Location Cell membrane
Multi-pass membrane protein . Cell junction, gap junction .
Iso type IgG
Tissue Source Rabbit
Reactivity Human
Mouse
Rat
Human Gen 2700
Other Name Connexin-46
Cx46
GJA3
Gap junction alpha-3 protein
Background The protein encoded by this gene is a connexin and is a component of lens fiber gap junctions. Defects in this gene are a cause of zonular pulverulent cataract type 3 (CZP3). [provided by RefSeq, Jan 2010],