GTPBP5 rabbit pAb
  • GTPBP5 rabbit pAb
ELK

GTPBP5 rabbit pAb

Ref: ELK-ES5469-50ul
50ul

Información del producto

Información adicional
Storage Conditions -20°C/1 year
Applications ELISA
IF
IHC
Concentration 1 mg/ml
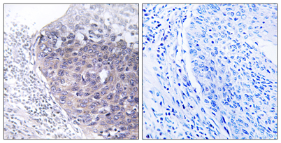
Recomended Dilution Immunohistochemistry: 1/100 - 1/300. ELISA: 1/20000. Not yet tested in other applications.
Type Clonality Polyclonal
Immunogen The antiserum was produced against synthesized peptide derived from human GTPBP5. AA range:71-120
Subcellular Location Matrix side.
Mitochondrion. Mitochondrion inner membrane
Peripheral membrane protein
Iso type IgG
Tissue Source Rabbit
Reactivity Human
Mouse
Rat
Human Gen 26164
Other Name GTP-binding protein 5
GTPBP5
OBGH1
ObgH1
Protein obg homolog 1
Background Small G proteins, such as GTPBP5, act as molecular switches that play crucial roles in the regulation of fundamental cellular processes such as protein synthesis, nuclear transport, membrane trafficking, and signal transduction (Hirano et al., 2006 [PubMe