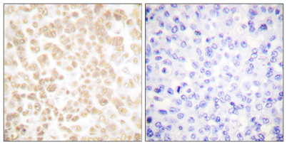
FOSL2 rabbit pAb
  • FOSL2 rabbit pAb
ELK

FOSL2 rabbit pAb

Ref: ELK-ES5357-50ul
50ul

Información del producto

Información adicional
Storage Conditions -20°C/1 year
Applications ELISA
IF
IHC
WB
Concentration 1 mg/ml
Recomended Dilution Western Blot: 1/500 - 1/2000. Immunohistochemistry: 1/100 - 1/300. ELISA: 1/10000. Not yet tested in other applications.
Type Clonality Polyclonal
Immunogen The antiserum was produced against synthesized peptide derived from human Fra-2. AA range:271-320
Subcellular Location Nucleus .
Iso type IgG
Tissue Source Rabbit
Reactivity Human
Mouse
Rat
Human Gen 2355
Observed Band 43kD
Other Name FOSL2
FRA-2
FRA2
Fos-related antigen 2
Background The Fos gene family consists of 4 members: FOS, FOSB, FOSL1, and FOSL2. These genes encode leucine zipper proteins that can dimerize with proteins of the JUN family, thereby forming the transcription factor complex AP-1. As such, the FOS proteins have bee